Case of the Month- July

Many professional adults would like to correct noticeable gaps and misaligned teeth in their smile, but the prospect of wearing noticeable metal braces for months or even years on end is just too great of a hurdle to consider. At Columbus Orthodontic Center, Dr. Amin Mason takes pride in being able to offer his patients a variety of treatment options to choose from, including aesthetic-friendly solutions like Invisalign that can help them correct their smile while still maintaining a pleasing, natural appearance. Contact us today to schedule your first consultation!

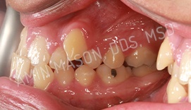
Before treament

Before

After treatment

After

invisalign provider

Our Custom Orthodontic Treatment Plan Achieved Great Results!

This 17-year old patient had a pronounced underbite, severe teeth crowding, and a crossbite towards the back of his mouth as well. Because of the number of problems, the patient was previously told that he would need surgery to correct them all. He didn’t want to undergo surgical treatment, but he still wanted to improve the overall look of his smile. So, Dr. Amin Mason came up with a customized treatment plan, which consisted of using a temporary anchorage device (TAD) supported expander to widen his dental arch, another TAD to close the spaces between his lower teeth, and Damon self-ligating braces. One of the patient’s lower premolars was removed as well so his teeth had enough room to shift. In the end, not only was the patient able to avoid surgery, but he obtained excellent results that he simply couldn’t believe.

See the transformation process:

Scroll left and right to see the process!